美容外科・美容皮膚科・形成外科
東京・千葉

ヒアルロン酸注射での涙袋(多め)【症例写真あり】
更新日:2026/01/25
公開日:2013/06/04
AKB48の板野友美さんのおかげで、すっかり巷で有名になった涙袋の紹介です。

美容外科では、涙袋をヒアルロン酸で作ることができます。
ヒアルロン酸の入れ方や注入量によって、仕上がりはかなり違ってきます。
今回のモニター患者様は、「多めに入れてください」とのご注文でしたので、ヒアルロン酸を多めに入れました。

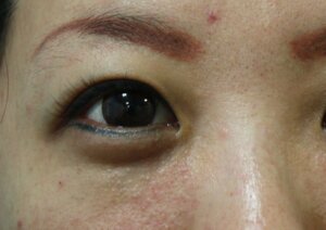
涙袋を作る前の写真です。

ヒアルロン酸注入直後の写真です。これは多めに入れています。また、注入直後より少し日にちが経った後のほうが、ヒアルロン酸が水分を吸収するため、より膨らみが大きくなります。

注射後12日後の写真です。ヒアルロン酸注入直後より、涙袋がさらに大きくなっているのがわかると思います。
僕の好みから正直に言いますと、これは少し入れすぎで、もう少し控えめのほうが僕の好みでした。ただ、患者様の理想はもっと大きな涙袋だったようで、このあとさらにヒアルロン酸を足しました。
今回のモニターさんに限らず、患者様と僕の間との理想像のギャップはたまに起こり得ますが、患者様の要望に従って施術を行うか、「ここで止めたほうがいい」と説得するかは、case by caseですね。
船橋美容HP「涙袋形成(涙堂形成)」
青山美容HP「涙袋形成(涙堂形成)」もご参照ください。
筆者:元神 賢太
船橋中央クリニック院長/青山セレスクリニック理事長。1999年慶応義塾大学医学部卒。外科専門医(日本外科学会認定)。美容外科専門医(日本美容外科学会認定)。美容外科医師会理事。美容外科医として20年以上のキャリアがあり、二重治療、眼瞼下垂治療、逆さまつ毛治療、リフトアップ,治療、ヒアルロン酸注入を得意としている。
【関連項目】
TCB/東京中央美容外科での涙袋でデメキンに!涙袋ヒアルの解説
千葉エリアで治療をご希望の方はこちら

〒273-0005
千葉県船橋市本町6-4-15
グラン大誠ビル 2F
責任者:元神賢太
最終学歴:H11年慶応義塾大学医学部卒業
勤務歴:H15年船橋中央クリニック開業
東京エリアで治療をご希望の方はこちら

〒107-0061
東京都港区北青山2-7-26
ランドワーク青山ビル7F
(旧ヒューリック外苑前ビル)
責任者:高林洋一
最終学歴:S43年慶応義塾大学医学部卒業
勤務歴:H28年青山セレスクリニック管理者






フリーダイヤル
