涙袋でチャーミングな目に!
想定されるリスク・副作用
- 対象施術
- ヒアルロン酸による涙袋形成
- 施術直後の注意点
- 注射部位の一時的に凹凸が現れることがあります。数日で改善します。
- リスク・副作用
- 注射の針跡による赤みが出ることがあります。通常1,2日程度で引きます。
- 料金
- 66,000円(税込)

涙袋形成(涙堂形成)
笑った時に目の下がぷくっと膨れるのを涙袋(涙堂)と言います。
タレントさんの目元をよくみると、この涙袋がふっくらとしていることが多くあります。
涙袋の施術方法は、目の下にヒアルロン酸を注射して、ふくらみを作ります。
注射によって、約10分で涙袋を作ることができます(いわゆるメスを使わない整形)。涙袋で目元がとてもチャーミングになります。
千葉県・船橋中央クリニックの涙袋形成は極小の針(35G針)で注入しますので、内出血になりにくいのが特徴です。
(治療時間約5分・通院不要)
当院の涙袋形成の特長
当院の涙袋はほとんど腫れません
当院の涙袋はほとんど腫れません。
これは、当院では特別に発注している極細の針(35ゲージ針)を使用しているからです。
経験の浅い医師では35ゲージ針でのヒアルロン酸注入は困難ですが、当院では美容外科専門医が35ゲージ針を使用して涙袋を作成しますので、ほとんど腫れることがありません。
ヒアルロン酸による涙袋形成後
自然な仕上がりになります
涙袋は、下まつ毛の際に沿って注入する必要があります。
この適切な位置より少しでも下側にずれますと、涙袋にならず、いわゆる目袋になってしまい、目のクマに見えてしまいます。
また注入量を多すぎる場合も目袋にように見えてしまいます。
当院では美容外科専門医が患者様に鏡で確認していただきながら、適切な量を注入いたします。
ヒアルロン酸による涙袋形成後
涙袋形成の長所と短所・副作用・リスク
長所
メスを使わない注射のみの治療で、約10分で涙袋を作ることができます。
短所・副作用・リスク
まれに強く内出血がでることがあります。
出てしまった場合、内出血が引くまで、1週間ほどかかります。
ただ、当院の涙袋形成は極小の針(35G針)で注入しますので、内出血になりにくいのが特徴です。
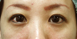
涙袋形成(涙堂形成)の症例写真
涙袋形成(涙堂形成)

治療前

治療後
涙袋形成(ヒアルロン酸注入) 66,000円(税込)
※治療後一時的にむくみ、内出血が出るケースがございます。
涙袋形成(涙堂形成)

治療前

治療後
涙袋形成(ヒアルロン酸注入) 66,000円(税込)
※治療後一時的にむくみ、内出血が出るケースがございます。
涙袋形成(涙堂形成)

治療前

治療後
涙袋形成(ヒアルロン酸注入) 66,000円(税込)
※治療後一時的にむくみ、内出血が出るケースがございます。
涙袋形成(涙堂形成)の料金
| 涙袋形成(涙堂形成)(すべて税込表示) | |
|---|---|
| ヒアルロン酸注射 0.6cc | 66,000円 |
| ヒアルロン酸注射(麻酔入り)0.6cc | 70,400円 |
※上記はすべて自由診療となります
Contents
Faq


千葉エリアで治療をご希望の方はこちら

〒273-0005
千葉県船橋市本町6-4-15
グラン大誠ビル 2F
責任者:元神賢太
最終学歴:H11年慶応義塾大学医学部卒業
勤務歴:H15年船橋中央クリニック開業
東京エリアで治療をご希望の方はこちら

〒107-0061
東京都港区北青山2-7-26
ランドワーク青山ビル7F
(旧ヒューリック外苑前ビル)
責任者:高林洋一
最終学歴:S43年慶応義塾大学医学部卒業
勤務歴:H28年青山セレスクリニック管理者
























フリーダイヤル
